Blog
Nephrology and Kidney Care Information in Arizona
Our genetic makeup plays a significant role in determining our health, and sometimes, it can also be a source of...
Welcoming a new life into the world is a profound journey that brings both joy and challenges. For women grappling with...
In the intricate landscape of human health, the kidneys often occupy a backstage role until complications arise. The...
In today's fast-paced world, our busy lives often lead us to prioritize other aspects over our health. Many individuals are...
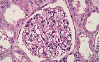
Glomerulonephritis is a group of kidney disorders that hold profound implications for health. These disorders involve...
Kidney stones are a common and painful medical condition that affects millions of people worldwide. These small, hard...
The summer season brings sunshine and warmth, but it can also pose challenges for individuals with kidney disease....
Dialysis is a life-saving treatment for individuals with kidney failure, allowing them to filter waste and excess fluids...
Anemia is a condition characterized by a low red blood cell count or a low hemoglobin level in the blood. It can cause...
Diabetes is a chronic disease that affects how your body uses glucose, which is a type of sugar found in your blood. When...
During kidney failure, if you are advised that you need treatment to stay alive, it can be a crucial time in your life. If...
Kidneys are bean-shaped organs in our body that perform many important functions. Kidneys help filter blood, help balance...











